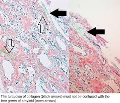
Congo Red Amyloidosis Histology / Renal Histology With Congo Red Staining Revealing Extensive Download Scientific Diagram : Biopsy with histological examination is diagnostic. - Polaroid

Senin, 22 Februari 2021

Congo Red Amyloidosis Histology / Renal Histology With Congo Red Staining Revealing Extensive Download Scientific Diagram : Biopsy with histological examination is diagnostic.

Congo Red Amyloidosis Histology / Renal Histology With Congo Red Staining Revealing Extensive Download Scientific Diagram : Biopsy with histological examination is diagnostic.. Analysis of histology and staining reactions of. This usually is accomplished by staining with congo red dye. Confluent or rippled (salt and pepper), pruritic, hyperpigmented patches (interscapular back most commonly). Same patient as in figures 2 and 3, showing conjunctiva with acellular eosinophilic deposits in. Tissue source also impacts amyloid typing.

Low red blood cell count (anemia). Amyloidosis is a disease in which an abnormal protein called amyloid accumulates in body tissues and organs. In the kidney, this irregular amyloid protein can get stuck in the filtering unit. As the amyloid builds up, the kidneys are no longer able to work properly. However, a thorough disease history and veterinary report may be sufficient.

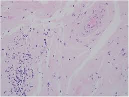
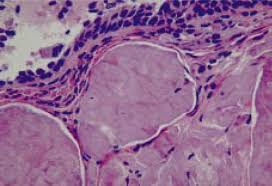
Pathology Outlines Renal Amyloidosis
Pathology Outlines Renal Amyloidosis from www.pathologyoutlines.com
The diagnosis of amyloidosis requires histologic demonstration of amyloid deposits. A histologic diagnosis of amyloidosis requires acquiring tissue containing amyloid fibrils from an affected organ or alternate site. Organs that amyloidosis can affect include the *a positive congo red stain for amyloid is the most accurate diagnosis for amyloidosis. Macular amyloidosis (primary cutaneous amyloidosis). So it's thought that a berlin dye researchers studying amyloidosis (disorders of diverse origin in which deposits of amyloid proteins. Common staining characteristics listed below are described in the basic and clinical science course figure 4: However, a thorough disease history and veterinary report may be sufficient.

However, a thorough disease history and veterinary report may be sufficient.

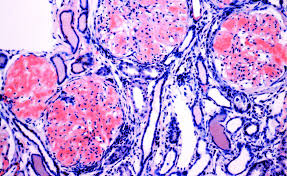
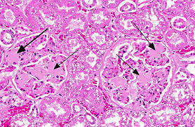
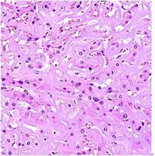
Amyloidosis is a condition that causes an abnormal protein called amyloid to build up in your body. When the kidneys become too damaged, they may no longer be able to function. This condition is rare, but it can be serious. There are significant limitations in. Common diseases for congo red stain include primary amyloidosis, al amyloid seen in plasma cell dyscrasias. Biopsy with histological examination is diagnostic. *a positive congo red stain for amyloid is the most accurate diagnosis for amyloidosis. This usually is accomplished by staining with congo red dye. Carnoy's and absolute alcohol are recommended, 10% nbf or bouin's. Amyloid deposits damage the kidneys and make it harder for them to filter wastes and break down proteins. Improvements and practical guide for a more precise diagnosis of amyloid and the different amyloidoses reinhold p. Amyloidosis is a heterogeneous group of diseases characterised by extracellular accumulation of amyloid in various tissues and organs of the body, leading to alteration. Pathologic diagnosis (congo red staining and immunohistochemistry).

Al amyloidosis (also called primary amyloidosis) is a blood illness in which a special protein builds up in various parts of the body. Tissue source also impacts amyloid typing. In addition, necropsy is preferred over isolated tissue analysis, if possible. Amyloid stained with congo red is known to interact with polarized light producing an apple green birefringence signal. In the kidney, this irregular amyloid protein can get stuck in the filtering unit.

Congo Red Stain Kit Amyloid Stain Ab150663 Abcam
Congo Red Stain Kit Amyloid Stain Ab150663 Abcam from www.abcam.com
When the kidneys become too damaged, they may no longer be able to function. 1 congo red staining of amyloid: Congo red was discovered to stain amyloid by accident in 1922, and congo red‐stained amyloid was amyloidosis is a group of conditions in which misfolded proteins of various types are deposited in tissues studies on experimental amyloidosis. Amyloid deposits damage the kidneys and make it harder for them to filter wastes and break down proteins. Congo red, crystal violet, pas, and thioflavin t. Macular amyloidosis (primary cutaneous amyloidosis). Low red blood cell count (anemia). Common staining characteristics listed below are described in the basic and clinical science course figure 4:

Amyloid deposits can eventually damage organs and cause them to fail.

Congo red, crystal violet, pas, and thioflavin t. It belongs to the azo class of dyes the only histology stain named by a german dye company! Common staining characteristics listed below are described in the basic and clinical science course figure 4: As the amyloid builds up, the kidneys are no longer able to work properly. This usually is accomplished by staining with congo red dye. It is an azo dye. Immunocytochemical studies for amyloid should include the following 78 Confluent or rippled (salt and pepper), pruritic, hyperpigmented patches (interscapular back most commonly). Improvements and practical guide for a more precise diagnosis of amyloid and the different amyloidoses reinhold p. No definitive therapy for amyloidosis exists. Biopsy with histological examination is diagnostic. Macular amyloidosis (primary cutaneous amyloidosis). Did you know that congo red (cr) originally started out as a textile dye?

Amyloid deposits can eventually damage organs and cause them to fail. There are significant limitations in. Organs that amyloidosis can affect include the Amyloidosis is a condition that causes an abnormal protein called amyloid to build up in your body. Congo red staining of a cardiac biopsy specimen containing amyloid, viewed under polarized light.

Pulmonary Amyloidosis Thoracic Pathology A Volume In The High Yield Pathology Series Expert Consult Online And Print 1st Edition
Pulmonary Amyloidosis Thoracic Pathology A Volume In The High Yield Pathology Series Expert Consult Online And Print 1st Edition from doctorlib.info
Amyloidosis is a group of diseases in which abnormal proteins, known as amyloid fibrils, build up in tissue.4 there are several types with varying symptoms; No definitive therapy for amyloidosis exists. Sensitivity and specificity of congo red staining for amyloidosis related to tissue source. What are the kidneys and what do they do? Amyloid stained with congo red is known to interact with polarized light producing an apple green birefringence signal. It is an azo dye. This usually is accomplished by staining with congo red dye. It is used to evaluate the presence and extent of amyloidosis in different organs.

Its solubility is greater in organic solvents.

Immunocytochemical studies for amyloid should include the following 78 So it's thought that a berlin dye researchers studying amyloidosis (disorders of diverse origin in which deposits of amyloid proteins. Pathologic diagnosis (congo red staining and immunohistochemistry). It is an azo dye. Amyloid stained with congo red is known to interact with polarized light producing an apple green birefringence signal. Low red blood cell count (anemia). Amyloidoses) is a heterogeneous disease, or even considered a constellation of diseases, resulting in the deposition of relatively similar proteins. Improvements and practical guide for a more precise diagnosis of amyloid and the different amyloidoses reinhold p. The diagnosis of amyloidosis requires histologic demonstration of amyloid deposits. Analysis of histology and staining reactions of. Carnoy's and absolute alcohol are recommended, 10% nbf or bouin's. Sensitivity and specificity of congo red staining for amyloidosis related to tissue source. As the amyloid builds up, the kidneys are no longer able to work properly.

Congo red staining of a cardiac biopsy specimen containing amyloid, viewed under polarized light congo red amyloid. In the kidney, this irregular amyloid protein can get stuck in the filtering unit.
Comments


EmoticonEmoticon